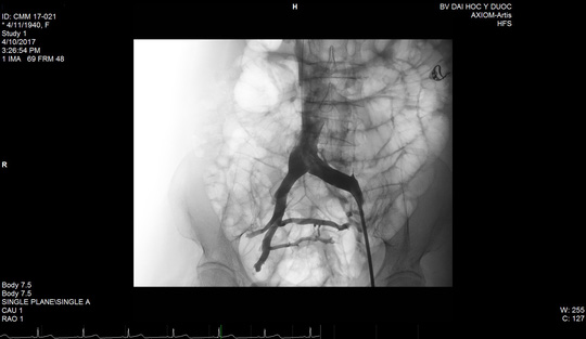
Lần đầu tiên đặt stent trị được suy tĩnh mạch
Sau 2 năm nghiên cứu và ứng dụng điều trị, Bệnh viện Đại học Y Dược TP HCM đã thành công với kỹ thuật mới trị bệnh suy tĩnh mạch chi dưới bằng cách đặt stent
- Vắc xin ngừa ung thư do HPV sẽ tiêm miễn phí cho trẻ nhỏ (14/11)
- Cải thiện dinh dưỡng, góp phần thực hiện mục tiêu giảm nghèo bền vững (14/11)
- Hưởng ứng ngày thế giới phòng, chống đái tháo đường 14/11: Nâng cao ý thức phòng bệnh của mỗi người (14/11)
- 4 thức uống buổi sáng giúp ngăn gan nhiễm mỡ (14/11)
- Giảm nghèo gắn với cải thiện dinh dưỡng (13/11)
- Cục Phòng bệnh, Bộ Y tế làm việc với ngành Y tế Tây Ninh về phòng, chống bệnh không lây nhiễm (13/11)
- Tập thể dục trước khi ăn sáng có giúp giảm cân hay gây hại dạ dày? (13/11)
- Giám sát sản xuất, kinh doanh rượu, bia và an toàn thực phẩm tại phường Bình Minh (13/11)
-
Tập thể dục trước khi ăn sáng có giúp giảm cân hay gây hại dạ dày?
- 4 món quen thuộc là 'cứu tinh' cho người ngồi nhiều
- Bữa cơm nào cũng có trái ớt: Điều gì xảy ra cho tim, huyết áp, tuổi thọ?
- Năm nhóm giải pháp trọng tâm thúc đẩy dân số và phát triển giai đoạn mới
- Rách túi ngực sau 22 năm nâng cấp vòng 1, silicon tràn ra khoang ngực
- Bộ Y tế tăng cường phòng, chống sốt xuất huyết và các dịch bệnh truyền nhiễm
- Loại rau thêm vào tô phở không ngờ chống ung thư, giảm mỡ máu, ngừa tiểu đường
- 7 tác dụng tuyệt vời của sầu riêng sẽ làm bạn bất ngờ!
- Đã tìm ra lý do COVID-19 gây tổn thương kéo dài trong cơ thể
- 'Phải cấm quảng cáo thực phẩm chức năng có thể chữa bệnh, giảm cân cấp tốc'
-
UBND tỉnh Tây Ninh chỉ đạo tháo gỡ khó khăn trong hoạt động của ngành Y tế
- Phòng ngừa bệnh viêm phổi cho người cao tuổi trong mùa lạnh
- Cục Phòng bệnh, Bộ Y tế làm việc với ngành Y tế Tây Ninh về phòng, chống bệnh không lây nhiễm
- Bệnh tiểu đường nên ăn ổi ruột hồng hay ruột trắng?
- Nhiều trẻ nhỏ nhập viện vì mắc cúm A, cảnh báo nguy cơ biến chứng nặng
- Bí đao và khổ qua: Cặp đôi giúp giảm viêm và hạ men gan
- Xóa bỏ kỳ thị với người có 'H'
- Thuốc điều trị ung thư mới cấp phép được chỉ định như thế nào?
- Huyết áp cao hay lượng đường cao gây hại thận nhiều hơn?
- Bạn nên ăn bao nhiêu rau và trái cây mỗi ngày?


