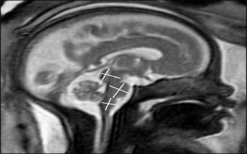
Mắc COVID-19 trong thai kỳ có gây hại cho não của thai nhi không?
Theo nghiên cứu được trình bày hôm 30/11 tại cuộc họp thường niên của Hội nghị Điện Quang Bắc Mỹ (RSNA), mắc COVID-19 ở mức độ nhẹ đến trung bình trong thời kỳ mang thai không ảnh hưởng đến não của thai nhi đang phát triển.
- Trà đen và cà phê đen: Loại nào tốt hơn cho sức khỏe? (05/11)
- Trà sữa làm tăng nguy cơ gan nhiễm mỡ (04/11)
- Tập huấn sàng lọc bệnh phổi tắc nghẽn mạn tính và hen phế quản trong cộng đồng (04/11)
- Những loại rau giúp ngăn ngừa ung thư, bệnh tim, tiểu đường (03/11)
- 4 kiểu ăn tối cần tránh vì khiến bụng dễ phình to vào buổi sáng (02/11)
- Uống 1 ly nước gừng buổi sáng, cải thiện 7 vấn đề sức khỏe (02/11)
- Chuyên gia dinh dưỡng chỉ cách uống cà phê tốt nhất cho sức khỏe (01/11)
- 4 món quen thuộc là 'cứu tinh' cho người ngồi nhiều (01/11)
-
4 món quen thuộc là 'cứu tinh' cho người ngồi nhiều
- Bữa cơm nào cũng có trái ớt: Điều gì xảy ra cho tim, huyết áp, tuổi thọ?
- Năm nhóm giải pháp trọng tâm thúc đẩy dân số và phát triển giai đoạn mới
- Rách túi ngực sau 22 năm nâng cấp vòng 1, silicon tràn ra khoang ngực
- Bộ Y tế tăng cường phòng, chống sốt xuất huyết và các dịch bệnh truyền nhiễm
- Loại rau thêm vào tô phở không ngờ chống ung thư, giảm mỡ máu, ngừa tiểu đường
- 7 tác dụng tuyệt vời của sầu riêng sẽ làm bạn bất ngờ!
- Đã tìm ra lý do COVID-19 gây tổn thương kéo dài trong cơ thể
- 'Phải cấm quảng cáo thực phẩm chức năng có thể chữa bệnh, giảm cân cấp tốc'
- Tăng cường kiểm tra, phòng, chống thực phẩm giả và ngộ độc thực phẩm
-
Bệnh viện Đa khoa Tây Ninh: Hội nghị khoa học kỹ thuật lần thứ 23, góp sức vào công cuộc phát triển ngành Y tế tỉnh
- Tập huấn sàng lọc bệnh phổi tắc nghẽn mạn tính và hen phế quản trong cộng đồng
- Những ai được tặng thẻ BHYT cuối năm 2025?
- Các loại đồ uống giúp ngăn ngừa mảng bám động mạch, tốt cho tim mạch
- 'Siêu vắc xin' ngừa ung thư: Bước đầu thành công đáng kinh ngạc!
- Uống 1 ly nước gừng buổi sáng, cải thiện 7 vấn đề sức khỏe
- Ăn trứng bao nhiêu là đủ để giảm mỡ mà không tăng cholesterol?
- Ăn trứng bao nhiêu là đủ để giảm mỡ mà không tăng cholesterol?
- 4 món quen thuộc là 'cứu tinh' cho người ngồi nhiều
- Chuyên gia dinh dưỡng chỉ cách uống cà phê tốt nhất cho sức khỏe
-
'Siêu vắc xin' ngừa ung thư: Bước đầu thành công đáng kinh ngạc!
-
Bệnh viện Đa khoa Tây Ninh: Hội nghị khoa học kỹ thuật lần thứ 23, góp sức vào công cuộc phát triển ngành Y tế tỉnh
-
Hợp chất ngăn ung thư, không gây hại tế bào khỏe mạnh
-
Đau ngực, bạn có thể mắc bệnh tim mạch chỉ gặp ở dưới 0,05% dân số
-
Hơn 200.000 người dân Tây Ninh được tiêm chủng mỗi năm trong giai đoạn 2026–2028

